Precision
cancer diagnosis
for precision care.
We develop AI-powered software capable of detecting all cancer biomarkers with high speed and great accuracy.
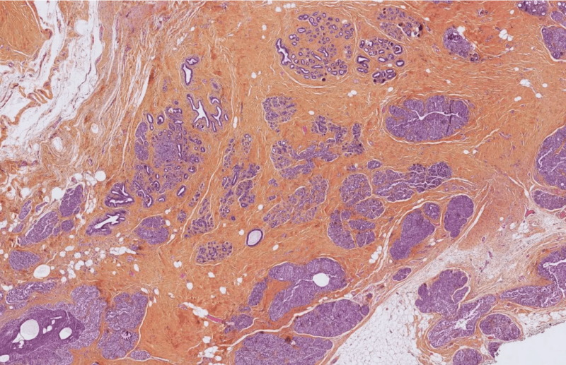
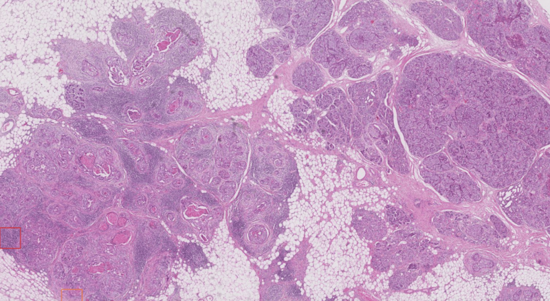
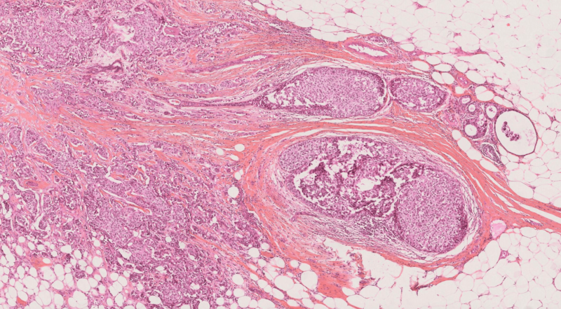
We develop an AI-based platform for automated and accurate cancer diagnosis.
This technology, leveraging image analysis and deep learning, improves the detection of major cancer biomarkers and guides personalized treatment.
Empowering pathologists with the keys to a smooth workflow.
-
Time-saving
Accelerate case reviews and provide faster diagnoses.
-
Smooth Workflow
Utilize a smart work list featuring intelligent triage and cases prioritization.
-
Performance Gain
Achieve greater precision and confidence in diagnosis making.
-
Enhanced Patient Outcomes
Advance personalized medicine with more precise patient data.
Scientific Evidence
Combining medical expertise to create the most relevant solutions, scientifically validated.
Learn moreJan 8, 2024
Standardized CycleGAN Training for Unsupervised Stain Adaptation in Invasive Carcinoma Classification for Breast Histopathology.
SCIENTIFIC PUBLICATION
Jan 25, 2024
Multicenter Automatic Detection of Invasive Carcinoma on Breast Whole Slide Images
SCIENTIFIC PUBLICATION
Nov 1, 2023
Study on the Time Savings Associated with the Use of the Cleo Breast Tool.
CLEO BREAST TOOL - SCIENTIFIC STUDY
Jun 2, 2025
Evaluating AI-Based Mitosis Detection for Breast Carcinoma in Digital Pathology
CLEO BREAST TOOL - SCIENTIFIC PUBLICATION
Partners
Trusted by Leading Organizations.












